ads/auto.txt

Kidney Stone Kub Vs Ultrasound

All About Kidney

Kidney Stone Kub Vs Ultrasound. We then compared accuracy of stone measurement from kub with ct. A 36 year old member asked.

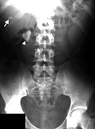
X Ray Kub Of A Patient With Bilateral Renal Stones Large Renal Shadows Download Scientific Diagram
X Ray Kub Of A Patient With Bilateral Renal Stones Large Renal Shadows Download Scientific Diagram from www.researchgate.net

There was no significant difference in measured size between kub and ct p 0 11. Do all kidney stones show up on a kub kidney xray. Combining ultrasound with a kub while not as sensitive or specific as a ct scan does do a pretty good job of picking up clinically significant stones.

A counter argument for using ultrasound in diagnosing of kidney stones is that ureteral stones are usually difficult to visualize with ultrasound and unless they are located at upj or in the distal ureter will not be seen with ultrasound.

Patients with serum creatinine 1 8 mg dl were. The other common study for kidney stones are plain x rays of the abdomen known as kub s which stands for kidney ureter bladder. Patients with serum creatinine 1 8 mg dl were. We then compared accuracy of stone measurement from kub with ct.